Na busca por emagrecimento rápido, algumas mulheres têm recorrido a uma prática extremamente perigosa: ingerir ovos de tênia adquiridos na dark web. O objetivo? Perder peso com a ajuda de um parasita. Mas os riscos à saúde são gravíssimos.
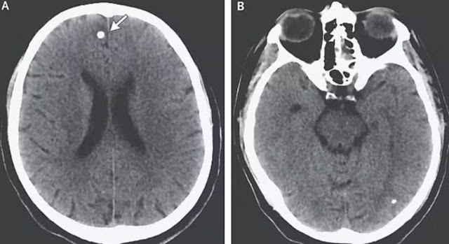
As tênias, vermes que geralmente entram no intestino por meio de carne malcozida, podem causar doenças fatais, como a neurocisticercose. Quando ingeridos intencionalmente, seus ovos liberam larvas que migram para o cérebro, causando fortes dores de cabeça, convulsões e até amnésia.
Esse foi o caso de uma jovem de 21 anos, identificada como TE, que comprou os ovos pela internet, usando criptomoedas para manter o anonimato. Bernard Hsu, especialista em câncer nos Estados Unidos, que fez o alerta sobre o caso, revelou que TE encontrou os comprimidos por meio de postagens criadas deliberadamente para atrair curiosos. Inicialmente, a jovem obteve os resultados esperados: emagreceu. No entanto, ela começou a sofrer de cólicas estomacais, que ignorou devido à perda de peso. Com o tempo, surgiram sintomas mais graves, como dores intensas de cabeça e perda de memória.
O alerta foi feito por médicos que compartilharam o caso nas redes sociais para conscientizar sobre os riscos dessa prática. De acordo com os especialistas, mulheres estão comprando pílulas contendo ovos de tênia no mercado clandestino, colocando sua saúde em risco.
Após exames, os médicos descobriram que os parasitas haviam migrado para o cérebro, provocando cistos e inflamação. O tratamento envolveu medicamentos para matar os vermes e esteroides para reduzir a pressão no cérebro. Após semanas de internação, TE se recuperou e passou a emagrecer de forma saudável.
Tags
MUNDO
